Informationen für Patienten
PET/CT mit Rubidium-82
bei Durchblutungsstörungen des Herzens
Die wichtigsten Punkte
- Lesen Sie diese Informationen bitte aufmerksam durch. Bei Fragen oder Unklarheiten stehen wir Ihnen gerne zur Verfügung.
- Sehr wichtig: Bitte beachten Sie die Informationen zur Nahrungmittel- / Substanzkarenz vor der Untersuchung. Sehen Sie Sektion “Vorbereitung” unten.
- Beachten Sie die Informationen für stillende und schwangere Frauen.
- Bitte planen Sie ausreichend Zeit ein (max. 1 Stunde).
- Im Verhinderungsfall melden Sie sich bitte mindestens 24 Stunden vorher bei uns ab.

Allgemeine Informationen
Die PET/CT-Untersuchung ist ein hochmodernes Untersuchungsverfahren, welches aus
- einer Positronen-Emissions-Tomographie (PET) und
- einer Computer-Tomographie (CT) besteht.
Sie findet Anwendung bei diversen Erkrankungen, z.B. Tumorerkrankungen, Infektionen oder rheumatischen Entzündungen.
Der PET-Teil dient der Erfassung von funktionellen Prozessen im Körper, im Rahmen der Herz-Untersuchung zur Erfassung der Durchblutung des linken Herzmuskels. Für diesen Untersuchungsteil wird ein sogenanntes “Radiopharmakon” (oder “Tracer“) in eine Vene appliziert, welches mit dem Blut in den Herzmuskel gelangt und sich dort anreichert. Damit das Radiopharmakon (Rubidium-82) bzw. dessen Verteilung im Herz von aussen detektiert werden kann, ist es schwach radioaktiv (Positronen-Emitter). Die ausgesendete Strahlung wird durch einen PET-Scanner detektiert und durch Computer-gestützte Auswertungen in Bilddaten umgerechnet.
Es werden insgesamt zwei PET-Aufnahmen angefertigt: eine erste in Ruhe und eine zweite unter Belastung (Stress-Aufnahme).
Um die Belastung des Herzmuskels zu simulieren, wird kurz vor der zweiten Aufnahme ein Medikament (Regadenoson) in die Armvene injiziert. Dieses führt zu einer veränderten Durchblutung des Herzmuskels – so als würden Sie sich körperlich belasten. Typische Nebenwirkungen dieses Medikamentes sind Luftnot, Schwindel, Kopfweh und evtl. Bauchbeschwerden. Die Nebenwirkungen sind nur von sehr kurzer Dauer, max. 1 Minute.
Der CT-Teil der Untersuchung dient der exakten Berechnung der Radiopharmakon-Verteilung und kann zusätzlich auch zur exakten Erfassung der Anatomie, v.a. der Gefässe, deren Verlauf, Einengungen oder Verkalkungen genutzt werden. Dafür ist ggf. zusätzlich die Injektion eines jodhaltigen Kontrastmittels notwendig.
Bildbeispiele:
PET
3D-Rekonstruktion eines Herzens bestehend aus anatomischen Informationen, wie z.B. des Gefässverlaufes, sowie überlagert Informationen zur Durchblutung des linken Herzmuskels.
Fusion von PET und CT


Schicht-Rekonstruktion des Herzens mit Darstellung einer Kontrastmittel-gestützten CT-Untersuchung (links) sowie überlagert die Informationen zur Durchblutung des Herzmuskels (rechts, PET).
Evaluation der Herzfunktion
Erfassung der linksventrikulären Pumpfunktion
Optional können genaue anatomische Untersuchungen der Herzkranzgefässe durchgeführt werden
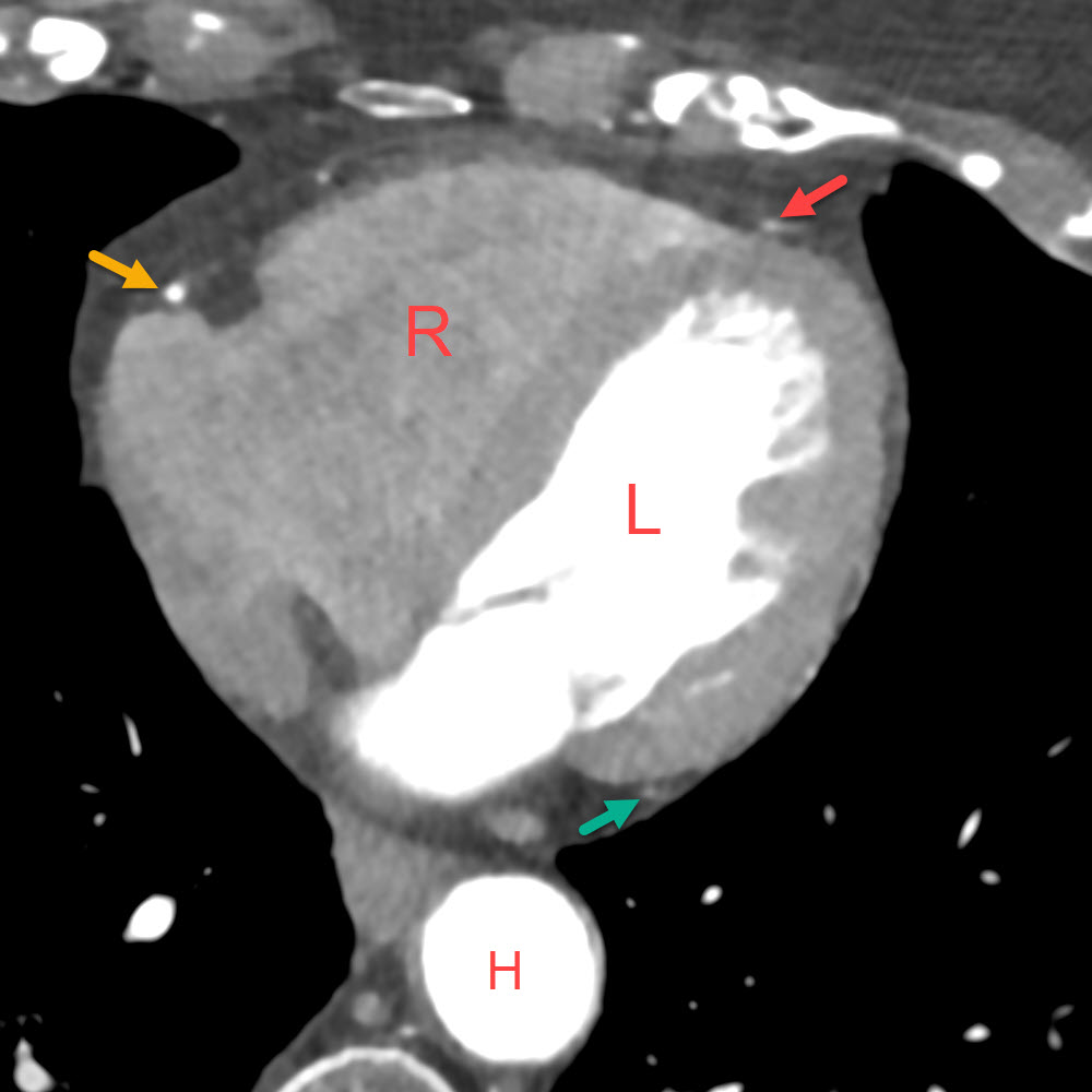
CT nach KM-Injektion

Erfassung der Herz-Anatomie:
- R = rechte Herzkammer
- L = linke Herzkammer
- H = Hauptschlagader (Aorta)
- gelb – rechte Herzkranzarterie
- rot – vorderer Ast der linken Kranzarterie
- grün – seitlicher Ast der linken Kranzarterie
Beurteilung der Herzkranz-Gefässe

Rekonstruktion des Verlaufes der Herzkranz-Gefässe und detaillierte Evaluation von deren Einengungen.
Calcium-Score

Das Ausmass der Verkalkungen der Herzkranz-Gefässe hat Auswirkungen auf das therapeutische Prozedere.
Einsatz der PET/CT
Wann wird die Untersuchung eingesetzt?
- bei vermuteten oder nachgewiesenen Störungen der Herzdurchblutung
- zur genauen Erfassung der Ausdehnung der Durchblutungsstörung
- zur Differenzierung von verschiedenen Durchblutungsstörungen
- zur Erfassung von Narben des Herzmuskels
- zur Planung und Kontrolle von therapeutischen Massnahmen
Wann darf die Untersuchung nicht durchgeführt werden?
- Im Falle einer (möglichen) Schwangerschaft (ggf. muss diese durch einen diagnostischen Test ausgeschlossen werden)
Vorbereitung
Es ist enorm wichtig, dass Sie folgende Substanzen / Nahrungsmittel vor der Untersuchung vermeiden:
| Substanz | Beispiele | Grund / Wirkung | Empfohlene Pause |
|---|---|---|---|
| Koffein | Kaffee, schwarzer/grüner Tee, Energy-Drinks, Cola, Schokolade, Mate | Koffein und verwandte Methylxanthine blockieren die Wirkung von Regadenoson | 24 Stunden vor der Untersuchung |
| Theophyllin / Theobromin | Medikamente oder z. B. Theophyllin bei COPD / Asthma | Theophyllin blockiert die Wirkung von Regadenoson | mind. 24 Stunden vor Testende (je nach Pharmakokinetik, Rücksprache mit Arzt) |
| Nikotin | Zigaretten, Nikotinpflaster etc. | Nikotin kann die Koronarperfusion verändern; oft wird empfohlen, vor dem Test zu verzichten. | Am Untersuchungstag |
| Andere Methylxanthine | z.B. Guarana, Yerba Mate | Enthalten Koffein und seine Derivate, beeinträchtigen die Wirkung | 24 Stunden vor der Untersuchung |
| Kräutertees mit stimulierender Wirkung | Pfefferminz etc. | kann die Wirkung von Regadenoson beeinträchtigen | am Untersuchungstag meiden |
Die Einnahme dieser Substanzen vor der Untersuchung kann das Ergebnis und die Aussagekraft Ihrer Herz-Untersuchung beeinflussen, so dass ggf. falsche therapeutische Entscheidungen getroffen werden.
Was sollten Sie uns vorher mitteilen?
- Falls Sie stillen, schwanger sind oder die Möglichkeit dazu besteht.
- Falls eine Epilepsie bekannt ist.
- Falls Sie regelmässig unter Luftnot leiden oder eine Lungenerkrankung bekannt ist.
Am Tag der Untersuchung
- Keine Koffein-haltigen Lebensmittel 24 Stunden vor der Untersuchung.
- Trinken Sie ausreichend Wasser, eine leichte Mahlzeit vor der Untersuchung ist erlaubt.
- Idealerweise lassen Sie jeglichen Schmuck zuhause.
Ankunft
- Im Salem-Spital melden Sie sich am Empfang der Radiologie an.
- Sie erhalten einen Erhebungs- und einen Aufklärungsbogen zum Ausfüllen und zur Unterschrift.
- Anschliessend begeben Sie sich im gleichen Stockwerk zum Institut für Nuklearmedizin.
- Das Fachpersonal empfängt Sie, erläutert Ihnen nochmal den Untersuchungsablauf und Sie haben die Möglichkeit Fragen zu stellen.
Ablauf der Untersuchung
- Lagerung auf dem Untersuchungstisch im PET/CT-Scanner. Es werden Systeme zur EKG- und Blutdruck-Kontrolle angebunden.
- In dem PET/CT-Scanner haben Sie viel Platz und es treten keine störenden Geräusche auf.
- Sollten Sie unter extremer Platzangst leiden, so kann Ihnen jederzeit ein Medikament zur Beruhigung verabreicht werden. In diesem Fall dürfen Sie jedoch für den Rest des Tages nicht selbstständig im Strassenverkehr teilnehmen.
- Injektion einer schwach radioaktiven Lösung in eine Armvene.
- Es sind keine Nebenwirkungen zu erwarten.
- Direkter Start der ersten Bildaufnahme (Ruhe-Aufnahme).
- Kurze Pause für ca. 5 Minuten.
- Injektion von Regadenoson zur Belastung des Herzens sowie erneute Injektion der radioaktiven Lösung
- Kurzzeitige Nebenwirkungen können sein: Luftnot, Schwindel, Kopfweh, selten Bauchweh.
- Diese Nebenwirkungen halten nur kurz, max. 1 Minute an.
- Bleiben Sie ruhig, bitte nicht bewegen, eine Fachperson ist stets zugegen.
- Direkter Start der zweiten Bildaufnahme (Stress-Aufnahme)
- Je nach Fragestellung wird eine zusätzliche CT-Untersuchung mit Gabe von jodhaltigem Kontrastmittel durchgeführt (sog. Coronar-CT).
- In der Regel wird das Kontrastmittel sehr gut vertragen. Häufigere Nebenwirkungen sind Wärmegefühl, seltener leichter Schwindel oder Übelkeit. Diese Beschwerden dauern nur kurz an (Sekunden bis wenige Minuten).
- Bitte informieren Sie uns im Vorfeld, sollte eine Unverträglichkeit gegenüber Kontrastmitteln bei Ihnen bekannt sein.
- Untersuchungszeit ingesamt ca. 30 Minuten (je nach Fragestellung und Umfang)
Nach der Untersuchung
- Sie können wieder normal essen und trinken und Ihren gewohnten Tätigkeiten nachgehen.
- Trinken Sie viel und entleeren Sie regelmässig Ihre Harnblase. Dies erleichtert die Ausscheidung des injizierten Radiopharmakons.
- Bei Abgabe von beruhigenden Medikamenten (z.B bei Platzangst oder Nervosität) ist die selbständige Teilnahme am Strassenverkehr für den Rest des Tages zu unterlassen.
Ergebnisse
- Nach der Untersuchung werden die Bilder mittels Computern ausgewertet und anschliessend beurteilt. Eine sofortige Befundmitteilung ist daher leider nicht möglich.
- Der schriftliche Befund wird innerhalb von 24 Stunden Ihrem behandelnden Arzt zugestellt, ebenso die Bilder.
- Bei einem Besprechungstermin am selben Tag, wird der Befund selbstverständlich vorher fertiggestellt.
Eindrücke



Kontakt
Dr. med. Jan Wartenberg
Dr. med. Bernd Vollnberg
Schänzlistrasse 39
3013 Bern
Wir sind für Sie erreichbar
werktags
von 8.00 bis 17.00 Uhr
+41 31 335 73 20
servicesnuk.bern@hirslanden.ch
www.nuklearmedizin-bern.ch
