Anamnese
Cholangiozelluläres Karzinom. Staging vor Therapie.
Modalität
PET/CT des Körperstammes
mit F-18-FDG
Ergebnis
- Intensiv stoffwechselaktives Karzinom im rechten und linken Leberlappen.
- Eine stoffwechselaktive Satelittenläsion.
- Keine Metastasen.
FDG-PET


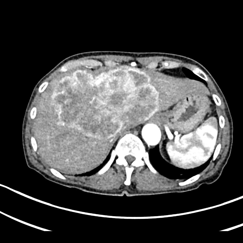
CCC-Darstellung im CT
arterielle und venöse Kontrastmittelphase


CCC-Darstellung im PET/CT
arterielle Kontrastmittelphase und FDG-PET


Satelliteläsion im CT
arterielle und venöse Kontrastmittelphase


Satelliteläsion im PET/CT
arterielle Kontrastmittelphase und FDG-PET